Interceptive
Orthodontics
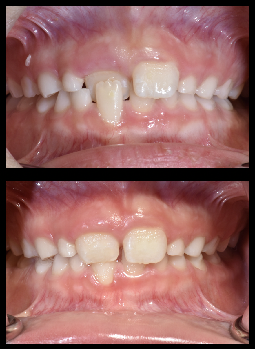
We monitor children’s tooth growth and development closely. One common issue we see is an anterior crossbite, and fortunately it is also one of the easiest problems to fix when caught early. With gentle interceptive orthodontic treatment, the crossbite can often be corrected in just a few weeks. Early treatment improves the bite and appearance, and it also protects the lower front teeth from gum recession, enamel wear, and potential bone loss.


Kids Interceptive Orthodontics: Everything You Need to Know!
Interceptive orthodontics aims to reduce the severity of future orthodontic problems—or even eliminate the need for braces later. Treatments may include space maintainers, palatal expanders, or partial braces, depending on the child's specific needs. By addressing dental issues early, interceptive orthodontics can help ensure proper bite alignment, improve facial symmetry, and make later treatments shorter and less complex.
Regular dental checkups allow your dentist or orthodontist to monitor your child’s growth and recommend interceptive treatment if necessary. Early intervention near you can support healthy oral development and set the foundation for a confident smile
Is Interceptive Orthodontics Right for Your Child?
Your child may be a good candidate for interceptive orthodontics if they show early signs of bite problems, crowded or misaligned teeth, thumb-sucking habits, or jaw issues. Ideal candidates are typically between 6 and 10 years old while their jaws are still growing. An early pediatric dentist or orthodontist evaluation can determine if this treatment fits correctly.
Interceptive Orthodontics for Kids can:
- Establish a Consistent Oral Hygiene Routine
- Limit Sugary Snacks and Beverages
- Utilize Dental Sealants and Fluoride Treatments
- Schedule Regular Dental Check-Ups
- Avoid Sharing Saliva
- Make Dental Care Fun

What Are The Benefits of Interceptive Orthodontic Treatments?
Interceptive orthodontic treatments in Seattle offer several key benefits for children by addressing dental and jaw issues early in development:
Guides Jaw Growth
Helps correct misaligned jaws and ensures proper facial symmetry.
Prevents Serious Problems
Reduces the risk of severe crowding, overbites, underbites, and crossbites.
Improves Tooth Alignment
This creates space for permanent teeth to erupt correctly.
Reduces Need for Future Treatment
This can shorten or even eliminate the need for braces or extractions later.
Boosts Self-Confidence
Helps children feel more confident about theirsmiles early on.
Enhances Speech and Chewing
Corrects functional issues affecting eating or speaking.
Interceptive orthodontics sets the stage for healthier, more efficient long-term dental development by intervening at the right time.
Visit North Seattle Pediatric Dentistry For Interceptive Orthodontic Care
We can help if you're worried about your child's orthodontic problems. Our dental office is dedicated to identifying, treating, and preserving your child's general dental health, both now and in the future. We promise kids will enjoy every visit thanks to our kid-friendly amenities and kind staff!

Our Location
10202 5th Ave NE #101, Seattle, WA 98125
northseattledds@gmail.com
(206) 915-5090
(206) 915-5090